Dr. Alessandro Maria Coppola
Estetica Dentale di Eccellenza
15 anni di esperienza in odontoiatria conservativa e protesi estetica
Eccellente, Professionale, Affidabile, Innovativo
★★★★★
Servizi Dentali
Trattamenti moderni mini-invasivi per salvaguardare il tuo sorriso e tecniche innovative per rivoluzionarlo.
Faccette, Protesi Fissa e Conservativa
Ricostruzioni complesse e intarsi in composito, faccette dentali in disilicato di litio, corone e ponti in zirconio-ceramica per un sorriso naturale e duraturo.
Sbiancamento Dentale
Trattamenti professionali per un sorriso più luminoso e sano, personalizzati per ogni paziente.
Tecnologie all'avanguardia, come impronte digitali tramite scanner intraorale, per il massimo della precisione e del comfort.
Tecnologie Avanzate


Non è mai troppo tardi per rivoluzionare il tuo sorriso!
Il Dott. Alessandro Maria Coppola offre soluzioni dentali estetiche avanzate per trasformare il tuo sorriso e migliorare la tua salute orale.


1500+
16 anni
Eccellenza riconosciuta
Pazienti curati
1 obiettivo
La tua soddisfazione
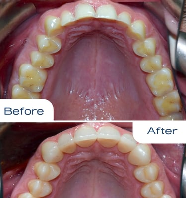
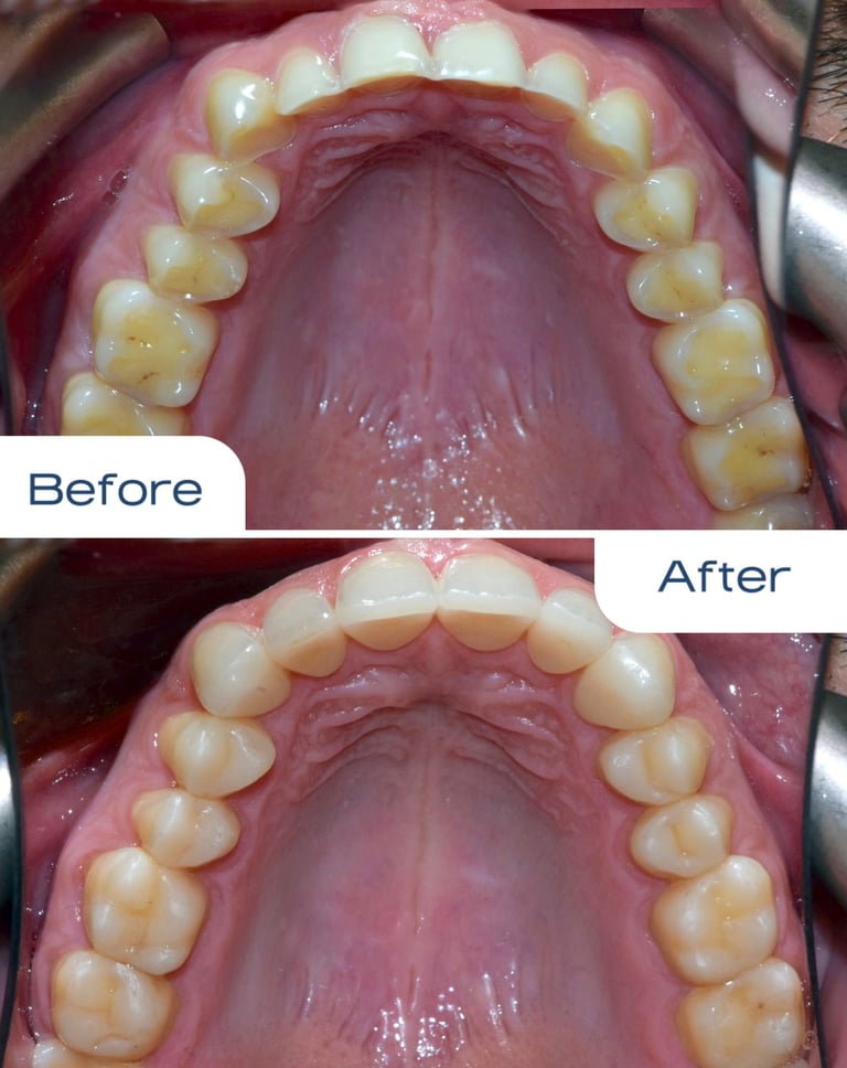
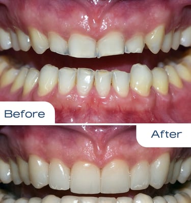
Galleria Lavori
Scopri i risultati delle nostre prestazioni odontoiatriche di qualità.







Curriculum Vitae
Il Dr. Alessandro Maria Coppola ha conseguito la Laurea in Odontoiatria e Protesi Dentaria presso l'Università dell'Insubria di Varese nel 2010 e il Master in Odontoiatria Conservativa e Protesi Estetica all'Università Alma Mater di Bologna nel 2024. Ha lavorato in studi dentistici privati nelle province di Varese e Milano, e attualmente risiede a Milano.
Da 13 anni si occupa di protesi, conservativa ed estetica dentale, aggiornandosi costantemente sulle tecniche più moderne, per trattare sia casi semplici che riabilitazioni complesse.

